2024年12月05日
作者
宣传科
时间
2024年12月05日
出门没车难,有车烦 预约了医生的号 然而,转了几圈 都!没!有!停!车!位! 就诊路堵在了 这看病的“最后100米” 心里真是着...
2024年11月29日
作者
宣传科
时间
2024年11月29日
2024年11月27日上午桂林医学院教务处副处长莫中成一行2人到我院对教学工作进行调研考察。我院党委委员、纪委书记、副院长...
2024年11月28日
作者
宣传科
时间
2024年11月28日
近日,广西壮族自治区总工会公布2024年自治区级工会职工书屋名单。其中,合浦县人民医院工会职工书屋名列在内,获评为202...
2024年11月27日
作者
宣传科
时间
2024年11月27日
近日,我院超声诊断科成功独立开展经食管心脏彩超检查,标志着我院彩超检查又增添一新“利器”,为患者提供全“心”方位的诊...
2024年11月27日
作者
宣传科
时间
2024年11月27日
11月22日下午,我院呼吸内科“王可博士工作站”签约揭牌仪式在门诊综合楼15楼多媒体会议室举行。广西医科大学第一附属医院...
2024年11月26日
作者
宣传科
时间
2024年11月26日
为进一步促进合浦县医疗机构院感事业的专科建设和整体提升,加强院感管理经验交流,抓紧抓实抓细院感防控工作,11月22日...
2024年11月22日
作者
宣传科
时间
2024年11月22日
2024年11月20日是第十一个“中国心梗救治日”,当天,我院组织广西医科大学第一附属医院派驻专家、我院相关学科医疗专家以...
2024年11月22日
作者
宣传科
时间
2024年11月22日
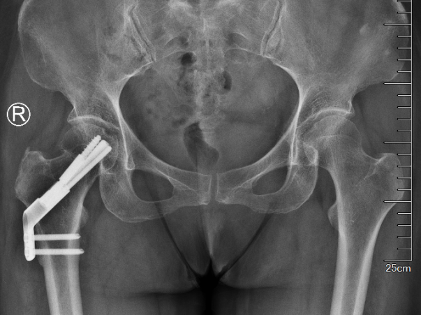
近日,我院骨科一区成功独立开展治疗股骨颈骨折的FNS(股骨颈动力交叉钉系统)微创手术,患者术后复查股骨颈已骨性愈合,...
2024年11月20日
作者
宣传科
时间
2024年11月20日
近日,合浦县人民医院骨科一区成功为一名腰椎疾病患者开展单侧双通道脊柱内镜手术(UBE)。术后患者腰痛,左下肢疼痛、麻...
2024年11月19日
作者
宣传科
时间
2024年11月19日
近日,合浦县人民医院骨科一区成功独立开展人工膝关节置换术(TKA),为八旬老年患者解决了膝关节疼痛困扰。该手术能够显...









