30岁的年纪,本该尽情享受美食,但陈女士(化名)却被食管“紧箍咒”折磨了整整三年。每餐进食都伴随吞咽困难,反流症状日日纠缠,曾经最爱的美食如今却难以下咽,体重在近期下降了5公斤。她曾多次在外院就诊,尝试药物治疗,但效果不佳。
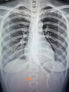
近日,她找到我院消化内科主任张宝华主任医师就诊,张主任详细了解病史后,为她完善了食道吞碘造影检查,结果显示食道贲门变窄呈“鸟嘴征”,造影剂通过受阻,考虑食道贲门失弛缓症,行胃镜检查不排除贲门失弛缓症。结合病史及辅助检查,陈女士被确诊为贲门失弛缓症。
张华宝主任医师带领的内镜手术团队随即组织院内多学科会诊(MDT),评估其Eckardt评分7分,临床分级III级,且反复吞咽困难影响日常生活,具备行经口内镜下肌切开术(POEM)的手术指征。
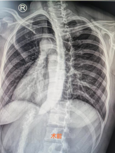
今年1月下旬,在患者及家属知情同意后,麻醉科团队密切配合,由张华宝主任医师带领指导内镜手术团队,谭巧玫副主任医师经过1个多小时的努力,成功为陈女士完成POME手术。术后第二天陈女士可以流质饮食,长期困扰她的吞咽困难症状消失,Eckardt评分0分。复查食道吞碘造影提示造影剂顺利通过贲门进入胃内,恢复良好,目前已康复出院。


健康科普小课堂
关于贲门失弛缓症
贲门失弛缓症( esophageal achalasia )是由胃食管结合部(esophagogastric junction,EGJ)神经肌肉功能障碍所致的功能性疾病。其主要特征是食管缺乏蠕动,食管下括约肌(lower esophagus sphincter , LES)高压和对吞咽动作的松弛反应减弱。临床表现为进食困难、反流、胸痛、反复肺部感染等症状,严重影响患者生活质量。临床上容易误诊漏诊。
关于POME手术
经口内镜下肌切开术(peroral endoscopic myotomy , POEM )是一种通过隧道内镜技术进行肌切开的内镜微创技术,2008 年被首次应用于贲门失弛缓症的临床治疗,取得较好疗效,目前已成为治疗贲门失弛缓症的优选。该技术是通过建立“隧道”的方式,在食管黏膜下层建立新通路,并在内镜下切开食管周围环形肌肉,以达到松解痉挛的环形肌,实现经口进食的目的。(文/谭巧玫 消化内科)